俗话说
“少怕歪,老怕摔”
骨折是中老年人
致病致瘫的重要原因

近日
陕西冶金医院骨科
为一名89岁高龄患者
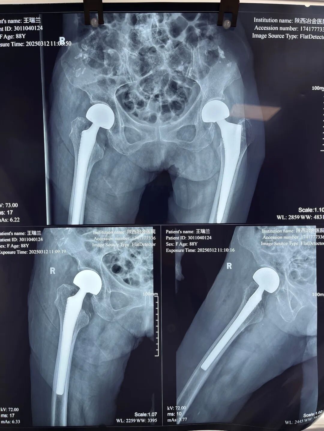
完成右侧股骨头置换术
助力老人在二次股骨颈骨折后重新行走
术后老人恢复良好
目前已在助行器支持下行走
不久前,家住西安市雁塔区西影路的89岁张奶奶(化名)在家中不慎跌倒,被家人急送至陕西冶金医院骨科就诊。经检查,被诊断为右侧股骨颈骨折。
原来,张奶奶一年半前,左侧股骨颈曾因摔倒发生骨折,在骨科进行手术治疗,术后恢复正常生活,这次又因意外摔倒致右侧股骨颈骨折。
考虑到患者年龄大,基础疾病多,手术风险高,骨科赵学刚主任团队迎难而上,立刻组织呼吸内科、心内科及手术室麻醉科等多学科会诊,对张奶奶的病情进行了全面的检查及评估,制定了周密的手术和麻醉方案。
在术前会诊,骨科赵学刚主任表示:“只要身体条件允许,我们还是建议尽早手术治疗,为老人家争取重新下地的走路的机会!”经过多学科会诊,大家一致认为,在严密监测的条件下,可以为张奶奶实施创伤较小的右侧股骨头置换术。随后,骨科团队与家属积极沟通,家属也果断决定尽快手术。
手术当天,在手术麻醉科密切配合下,骨科团队成功为张奶奶实施了股骨头置换术。术后,护理团队精心护理,密切监测生命体征,指导康复训练。

精准手术+精心护理 助老人快速康复
经过骨科医护人员的悉心照料,术后第二天张奶奶即可下床。术后仅三天就已经能够在助行器支持下行走,并在康复师指导下逐步开始康复锻炼。


“89岁的我还能站起来走路,让我这个老太太又能自己走到院子里晒太阳了。”张奶奶自己也开心地说道。
此次手术的成功,不仅体现了陕西冶金医院骨科在治疗复杂骨折及应对高龄患者手术方面的高超水平,也彰显了多学科协作的强大优势。陕西冶金医院将继续以专业的医疗技术和贴心的服务,为患者的健康保驾护航。
股骨颈骨折是指股骨颈部位发生断裂。它通常发生在老年人中,因为随着年龄的增长,骨质疏松和骨骼退行性变引起的骨质减少。老年人多数患有骨质疏松症,跌倒时极易发生骨折,这种因骨质疏松症导致的低能量骨折被称为脆性骨折。骨折后,老年人常面临长期卧床、活动能力丧失以及严重并发症的风险,甚至致命,因此被称为“人生的最后一次骨折”。
股骨头置换术,严重股骨颈骨折老人的救星。这一手术在国内已广泛开展。对于年龄较大、身体条件尚可且骨折移位明显老年患者而言,该手术能够快速恢复,使患者在术后早期便能下床活动,从而减少长期卧床引发的并发症,如肺部感染、深静脉血栓等。面对老年人股骨颈骨折的情况,应及时就医,由专业医生进行综合评估,并制定治疗方案。另外,手术成功只是第一步,术后如何逐步恢复正常活动,是每位股骨头置换患者必须认真对待的课题。一旦出院回家,患者应积极投入到康复锻炼中。当然,也不能操之过急,需循序渐进,逐步增加活动量。

骨科赵学刚主任特别提醒:相较于手术治疗,更为关键的是要重视预防老年人跌倒。预防跌倒,改善骨质疏松,为老年人打造一个安全舒适的居住环境,清除地面的障碍物,并安装防滑设施,这些都是预防骨折的有效方法。
信息来源 | 陕西冶金医院 骨科
编辑排版丨宣传部 李倩倩



